審美と機能の両立
当医院においては顎堤および口腔機能を保ちつつ最大限歯の保存に努めておりますが、どうしても抜歯せざるを得ない場合があります。それは歯が割れている場合、重度のう蝕や歯周病、その他予後不良と考えられる歯です。歯科医療の発展と共に以前と比べると大多数の歯を救うことができるようになりました。しかし上記のような病状が進行してしまった場合においては未だに抜歯せざるを得ません。歯を抜いた部分(もしくは既に欠損している部分)を補う治療を欠損補綴と言います。欠損補綴の種類は3つしかありません。それはブリッジ、インプラント、部分入れ歯です。簡単なイメージ図とメリットデメリットを下記にお示し致します。
詳細についてはこちらをご参照下さい。
インプラント
インプラントとは、人工の根を骨の中に埋め込み失った歯の代わりに機能させるものです。下のレントゲンの丸部分がインプラントです。ブローネマルク博士が骨とチタンがくっつくことを偶然発見したことにより歯科領域においても1980年代より実用化されることになりました。以前は適応症が限られていたり、治療期間がとても長かったりしたのですが最近では歯科医療の発展によりかなり改善されました。
特に奥歯がなくなり、部分入れ歯を使用せざるを得なくなったケースや歯周補綴(歯の欠損が多く歯周病に罹患している)などの大型補綴、両隣在歯が未処置の場合などにはとても有効な治療オプションです。インプラントという治療オプションがあるかないかによって私達歯科医師がご提案できる治療計画は大幅に変わります。入れ歯を使わず安定した咬合を付与できることは歯科医師にとってはこの上ない朗報だったと思います。しかしとても有難いインプラントですが、万能なわけではありません。インプラントは虫歯にはなりませんが歯周病には罹患してしまうことがあります。また、人の体は絶えず代謝を繰り返しており、歯の位置も日々変化しています。
それに対してインプラントは骨に直接くっついているため天然の歯とのズレにより被せ物の調整が必要になることがあります。インプラントは口腔内にずっと残るものなので長期的な視点から安心安全を第一に治療に取り組んでいます。当医院のインプラント治療の特徴を説明いたします。
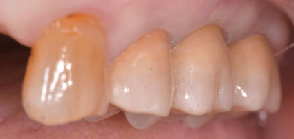
フィクスチャー(インプラント本体)
インプラント治療はフィクスチャーが骨とくっつくことから治療が始まります。現在においてはインプラントの成功率は90%以上の結果が出ており、とても安全な治療になっています。もし骨とくっつかなかったり、フィクスチャー本体が破損したりすると追加の処置が必要になります。最も大切な部分なので最も信頼できるブランドを使うことをお勧めしております。もし、治療後10年後にトラブルが起きた時に取り扱う会社や歯科医院がなくなっている場合治療が大変になってしまいます。当医院では世界で最も使われており、最も信頼できるブランドの一つであるストローマンインプラントを採用しています。
| 治療の流れ | 期間 |
|---|---|
| 診査診断/治療計画の提案 | 1ヶ月 |
| インプラント埋入 | 2ヶ月 |
| 2次オペ | 1ヶ月 |
| provisional restセット | 1ヶ月 |
| final rest セット | 1ヶ月 |
| メインテナンス |
4ヶ月(抜歯する場合は治るのを待つため+2ヶ月)後には仮歯が入り通常通り噛めるようになります。治療期間は長く感じますが待つ期間が長いため実際の通院回数はそんなに多くありません。
診査診断
当医院で特に重視しているのが診査診断です。現状を分析し、最終的な治療ゴールを作ります。そのためにはいかに抜歯するかも重要になってきます。つまり抜歯から治療が始まります。インプラントで最も大切なのは術後の管理もさることながら、術前にいかに歯周組織をいい環境に整えて適切な位置にインプラントを埋入するかで決まります。それが術後管理のしやすさにもつながりますし、インプラント周囲炎を含め術後のトラブルの予防につながります。
治療計画の立案
インプラントは骨と直接結合するためインプラントの歯を動かすことはできません。インプラントした後に矯正治療は困難になりますし、インプラントを埋める位置は将来を見通して考える必要があります。つまり患者さんの治療が部分的な治療で済むのか、全体的に治療すべきかということも診査します。口腔内を10年後20年後先まで見通してインプラントを最小限の本数で済むように設計します。また、隣の歯や噛み合う歯に関してもきちんと評価してから補綴設計を決めます。当医院においては来院してからすぐ治療ということはありません。診査診断、説明を行いきちんと理解してもらってから治療を開始致します。
インプラント埋入
CT.模型などを用いてプランニングし、インプラントガイドを用いて埋入。実は治療計画の立案までが1番大変であとは実行するのみ!
適切な診査診断を行い、理想的な埋入部位を導き出したとしてもそれを正確に実現出来なければ、ただの絵に描いた餅になってしまいます。机上の空論です。インプラントガイドを用いることでプランを口腔内に正確に再現します。
2次オペ
頭出しの処置を行います。
必要であれば、このタイミングで歯周組織に対してカバーを行い、歯周病の予防をします。
プロビセット
機能回復を行い、リハビリ期間です。
歯を失った期間が長い方などは奥歯が噛めるようになると、噛む位置や噛み方が変わる場合があります。まずは仮歯でリハビリを行い、しっかりと安定して噛めるようになってから最終的な被せ物を製作します。
ファイナル
リハビリ期間を経て最終的な補綴物を製作します。審美的、機能的な要件を満たすべく技工士とコミュニケーションをとります。
ブリッジ
3本の歯を2本で支える治療です。

メリット
- 外科処置を必要としない
- 治療期間が短い
- 審美的
デメリット
- 両隣在歯を削る
- 虫歯のリスクが上がる
部分入れ歯
複数の歯がなくなった歯場合、部分的に入れ歯で補う治療です。

メリット
- 外科処置を避ける事ができる
- 歯肉を補う事ができる
- 歯を削る量が少ない
デメリット
- 虫歯のリスクが上がる(メインテナンスが難しい)
- 残っている歯に負担がかかりやすい
- 残っている歯が悪くなると作り変える必要がある
お口の中に欠損がある、または歯を抜かなければならないと診断された方は一度ご相談ください。最良の治療オプションを一緒に考えましょう。また、抜歯と判断された歯においても当医院にては歯を保存できる場合があります。
下記のページをご参考ください。