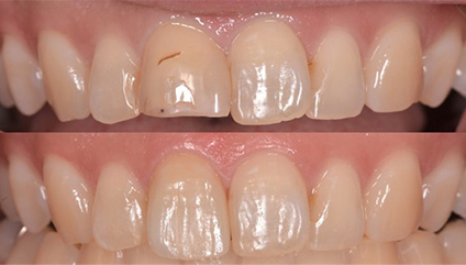
審美歯科治療について

審美治療

皆さんは「審美」や「審美歯科」と聞くとどういったものをイメージするでしょうか?
日本語の審美歯科治療を英語に訳すとaesthetic dentistryとcosmeticdentistryの二つが存在します。Aestheticdentistryは口腔内の健康と審美を両立させ、(歯科分野における)他科連携を前提にしているため口腔内を総合的に診査診断し、理解する必要があります。それに対してcosmeticdentistryは歯とスマイルの積極的な変化を創造することを目的としています。つまりaestheticdentistryは総合的な健康を意識して行う歯科治療であり、形成外科や審美治療であり、本来あるべき美しさを引き出すものだと私は解釈しています。
また、cosmeticdentistryは機能性や病名や疾患を伴わない美容治療と言えるでしょう。もちろん患者さんの要望を満たすことを第一にしておりますが、当医院の審美歯科治療はaesthetic dentistryを根幹にしています。

アメリカの建築家Louis Henry Sullivan(ルイス・サリヴァン)は「form follows function(形態は常に機能に従う)」という言葉を遺しています。歯も噛むときに力が加わったり冷たいもの、熱いものなど様々な外的要因が加わったりするため歯科医療もこの言葉に通ずるところがあると考えています。過去の研究からも明らかになっておりますが、歯並びが綺麗と思われる120名の歯列を観察したところ共通項目がたくさんあり、正常歯列と言われる美しい歯並びは存在します。また80歳でも20本以上の歯が残っている人のほとんどが歯並びに大きな問題を抱えていない人でした。反対咬合(受け口)、開咬(前歯が噛んでいない)、重度の叢生(歯のガタガタ)の方は(この研究では)一人も80歳で20本の歯がなかったそうです。想像してみると確かに八重歯や受け口のお年寄りの方は少ないように感じます。おそらく歯並びに問題がある方は歯がなくなり入れ歯になることで歯並びが良くなっているように見えているのです!歯並びが悪いと口の中でトラブルが起きやすく、逆に美しい歯並びというのは歯を長く機能させることが可能であり、メインテナンスもしやすいです。まさに「form follows function(形態は常に機能に従う)」という言葉が当てはまるでしょう。

私は歯本来の機能は3つあると考えています。
それは噛むこと、話すこと(実は歯が無いと話せません)、(お顔の一部としての)容姿、の3つです。はっきりと言われることはありませんが審美的要素は歯本来の役割の一つです。口元は目と鼻と同じように顔の一部であり第一印象に大きく影響します。新型コロナウイルスが流行してからというもの、初対面からマスクであることが多く、時間が経過してからマスクを外した時の印象の違いには驚く事が多いはずです。
また、前歯は歯科治療においては治療計画を立てる上で重要な基準になっています。つまり、前歯を綺麗で機能的に作ることが全体を綺麗で機能的な口腔内にするために第一歩になっています。これは見た目を優先させるという意味ではなく、前歯を基準に機能的な噛み合わせを作り上げていく事が治療においては非常に重要になってきます。これは歯の3つの役割を全うするには必要不可欠です。

審美治療

審美とは主観的要素が強いことは認めざるを得ないことで、歯科医学が理想とする審美を全ての患者さんが求めているというわけではない、ということは事実です。私の補綴医として役割は、患者さんがイメージする口元をバランスをとりながら実現させ、満足する結果を出す事です。現在の歯科医療においてできることは患者さんが想像している以上に多岐に渡っています。ここが気になるという要望をお聞かせいただければ最適な治療オプションをご提示します。審美に限らず気になっていることは一度ご相談にお越しいただけると幸いです。

デンタルオフィス青葉台の補綴物のこだわり

審美治療

歯科医師が行えることは、歯の位置と形と色を変更させ、歯周組織を健康に保つことであり、実際に補綴装置(被せ物)を作るわけではありません。補綴装置を作り上げるのは歯科技工士であり、彼らが力を存分に発揮できるaestheticフレームワークという下地を作る事がとても大切です。技工士が優秀であることは大前提として、患者が求めているもの、技工士が求めているエステティックフレームワークを両立させながら密にコミュニケーションを取り、最良の補綴装置を作り上げています。お困りのことがあれば我々のチームにご連絡ください。ご来院お待ちしております。

このような方はご相談ください

  • 綺麗な口元にしたい
  • なんとなく口元で気になっていることがある
  • 歯や銀歯を白くしたい
  • 歯肉をピンク色にしたい
  • 歯の形をきれいに整えたい
  • 歯並びを良くしたい
  • 金属アレルギーで悩んでいる…etc

主な審美歯科治療

オールセラミック

オールセラミックは、被せ物全体がセラミックで出来ています。被せ物や差し歯の中には金属を使ったものも多いのですが、オールセラミックには金属が使われていないので、天然歯に近い質感が得られます。金属を使った補綴物の場合、歯茎が退縮していくにつれて金属部分が露出してしまったり、金属イオンの作用によって歯茎が黒っぽく変色したりすることがあります。しかし、オールセラミックではこうした懸念がありません。プラークが付着しにくいのも特長です。

メタルボンド

金属のフレームにセラミックを貼り付けたクラウンです。金属で補強してあるので耐久性があり、以前は奥歯の被せ物によく用いられていました。天然歯に似ているので、銀歯に比べて見た目がきれいに仕上がります。プラークや食べ物の色素がつきにくいのも特長です。

セラミックインレー/アンレー

ラミネートベニアは、ご自身の歯の表面を薄く削り、セラミックなどで作られた薄片を張り付ける治療法です。ネイルチップのようなものを思い浮かべる方も多いと思いますが、一度つけたら外すことは出来ません。見た目を白くしたり、歯のすき間をなくしたり、欠けた部分をカバーすることが出来ます。前歯の歯並びが比較的良い方、ホワイトニングで満足のいく白さが得られなかった方、歯と歯のすき間を解消したい方などにお勧めです。

参考文献

竹内史江,宮崎晴代,野村真弓,茂木悦子,原崎守弘,谷田部賢一,山口秀晴,平井基之,佐藤晃一:Dental Prescale!を用いた8020達成者の咬合調査,歯科学報,105:154 ~162,205.
Andrews LF. The six keys to normal occlusion. Am J Orthod. 1972 Sep;62(3):296-309.
https://ja.wikipedia.org/wiki/ルイス・サリヴァン